-
乳腺癌相關淋巴水腫:日常生活中危險因素
為了預防乳腺癌治療后出現淋巴水腫,建議患者在日常生活中避免感染和創傷等風險。但事實是,醫療界尚缺乏研究... -
日本罕見癌研討會:神經內分泌癌的新療法開發-IVR治療(2)
IVR 還可通過射頻消融療法和冷凍療法治療癌癥日本國立癌癥研究中心中央病院-診斷放射科和IVR中心主任-菅原俊... -
日本罕見癌研討會:神經內分泌癌的新療法開發-IVR治療(1)
日本國立癌癥研究中心和北海道大學于2023年11月,舉辦了以IVR(影像引導治療 放射導管治療)——通過2毫米針孔... -
日本國家癌癥研究中心2023年罕見癌癥研討會 神經內分泌癌的標準治療和新療法開發(2)
要點4:約10%的最終診斷與最初診斷不一致這項臨床試驗還揭示了一些次要發現。EP治療導致發熱性中性粒細胞減少... -
日本國家癌癥中心2023年罕見癌癥研討會 神經內分泌癌的標準治療和新療法開發(1)
2023年11月,日本國立癌癥研究中心、日本愛知縣癌癥中心和日本九州大學醫院在線召開了主題為神經內分泌癌(NEC)... -
日本胃癌專家詳解: 全球首款靶向CLDN18.2的佐妥昔單抗(Zolbetuximab)的有效性
2024年3月,日本厚生勞動省批準了抗CLDN18 2抗體zolbetuximab的新藥上市申請。該藥將成為HER2陰性、不可切除... -
日本已開發出檢測早期胰腺癌的方法
包括東京大學在內的一個聯合研究小組宣布,他們已經開發出一種檢測方法,可以檢測相對早期胰腺癌患者血液中異... -
早期乳腺癌:無需手術 射頻消融治療成為微創新療法,已納入日本醫保
2023年12月,日本國立癌癥研究中心宣布使用射頻消融(RFA)治療早期乳腺癌已納入日本國民醫保。采用射頻消融技術... -
日本如何看待局部晚期胃癌的新輔助化療(NAC)《二》
第 77 屆日本胃腸外科學會共識會議上愛知縣癌癥中心藥物治療科的Kei Muro博士以《dMMR MSI-H 胃癌圍手術... -
《新英格蘭醫學雜志》(NEJM)尿路上皮癌:ADC+免疫藥物聯合或可延長生存期
2024年3月7日,發表在《新英格蘭醫學雜志》(NEJM)的一項3期試驗表明:在局部晚期 轉移性尿路上皮癌患者的一線... -
JSMO2024 日本臨床腫瘤學會 終末期癌癥治療真的有必要輸液嗎?
癌癥患者,尤其是終末期癌癥患者的最適當的輸液量是多少?在第21屆日本臨床腫瘤學會年會(JSMO2024)舉辦的題目為... -
非小細胞肺癌:到底該術前還是術后進行輔助治療?
在2023年度歐洲臨床腫瘤學會(ESMO Congress 2023)的一次特別會議上,專家們提出了一個問題:可切除的非小細... -
日本如何看待局部晚期胃癌的新輔助化療(NAC)
新輔助化療,也稱術前化療。顧名思義,就是在實施局部治療方法(手術或放療)前先進行全身化療,英文縮寫NAC。*以... -
利用AI預測早期結直腸癌淋巴結轉移 可減少超三分之一的過度治療!
早期結直腸癌內鏡切除后是否行追加手術切除是根據現行指南確定的。而接受追加治療病例的淋巴結轉移(LMN)率并不... -
JSMO2024日本臨床腫瘤協會力爭實現結直腸癌ICI聯合治療!
截至目前,只有2%的結直腸癌患者會從免疫檢查點抑制劑(ICI)中受益。醫學界正在開發治療方法試圖來改變這一狀況... -
JSMO2024日本臨床腫瘤協會公布新ADC藥物(I-DXd/DS-7300)實體腫瘤的治療數據
針對于既往接受過治療的晚期或轉移性實體瘤患者,一款靶向B7-H3的新ADC藥物ifinatamab deruxtecan(簡稱I-DXd... -
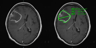
日本國立癌癥研究中心聯手日本富士膠片開發AI技術以提高神經膠質瘤圖像評估的準確性
概述日本國立癌癥研究中心和日本富士膠片株式會社已經共同開發了從MRI圖像中精確提取神經膠質瘤數據的人工智能... -
日本安斯泰來公布女性更年期新藥試驗數據
潮熱是更年期癥狀之一,會降低生活質量。到目前為止,藥物治療主要集中在激素替代療法(HRT)和中藥,但現在新藥... -
日本設立IgG4相關疾病中心并開始新藥試驗
IgG4相關疾病是一種原因不明,與免疫球蛋白G(IgG)的抗體成分之一IgG4相關的全身性疾病。該病會導致全身各個器... -
全球每12人中有1人罹患消化道腫瘤,每16個人中有1人死于消化道腫瘤
消化系統癌癥占全球癌癥病例的四分之一,癌癥相關死亡的三分之一。中國醫學科學院 北京協和醫學院的Shaoming...
